
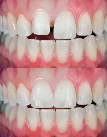
Whether you're dealing with chipped, crooked, or missing teeth, our Smile Makeover process is designed to help you eat, speak, and smile with confidence again — no upfront costs.
✔ 30 minutes with a senior dentist
Personalised time to understand your goals and smile vision.
✔ Full oral health check
We'll assess the condition of your teeth, gums, and bone health.
✔ 3D smile scan + X-rays
Everything needed to plan your transformation, at no cost to you.
✔ Personalised treatment plan
Including a clear breakdown of your options, timelines, and costs.
✔ $500 voucher
Toward treatment plans valued at $10,000 or more.
$50 refundable deposit required to secure your booking. Limited availability.
Confidence Boost: A straight, white smile enhances self-esteem in personal and professional settings.
Career Advantage: Studies show that people with great smiles are perceived as more trustworthy and successful.
Social & Dating Benefits: A confident smile makes people more approachable and attractive.
Health Benefits: Properly aligned teeth prevent long-term dental issues like decay and jaw pain.
Hassle-Free Process: No paperwork— MySuperCare
Unlock Your Best Smile – Book Your Free Consultation Today!
Limited free consultations available—don’t wait to invest in your confidence.




✅Meet with our expert dentists for a comprehensive smile assessment.
✅Includes X-rays, scans, and a custom treatment plan tailored to you.
✅Your chance to ask questions and get clarity on your dream smile.
✅We refer you to MySuperCare, the specialists in ATO-compliant superannuation applications.
✅No complicated forms—they handle the entire process for you.
✅A one-time admin fee of $790 covers everything.
💡 Most applications are processed within 10-28 days.
✅ Once approved, treatment begins immediately!
✅ Payment is taken care of—so you can focus on enjoying your new, confident smile.
✅ Not eligible for Super? We offer flexible payment plans to help make your dream smile a reality.
Fully refundable $50 deposit required to secure your spot

✅ Professionals, salespeople, business owners, and executives who rely on their smile for confidence & success.
✅ Those who have always wanted a perfect smile but thought it was financially out of reach.
✅ Anyone with broken, discolored, or misaligned teeth who wants a dramatic transformation.
✅ People looking to use their superannuation wisely to improve their quality of life and personal brand.
💡 Superannuation isn’t just for retirement—it can be used for life-changing treatments like this!
At Dentists In Annerley, we offer free consultations to help you explore your dental treatment options, including accessing Superannuation for essential dental care. To ensure fairness and respect for our time and other patients, we have a $50 refundable booking fee in place.
How It Works:
✔ Secure Your Booking – A $50 deposit is required when scheduling your free consultation.
✔ Attend Your Appointment – If you attend your consultation as scheduled, the $50 will be fully refunded to you.
✔ No-Show Policy – If you fail to attend your appointment without prior notice, the $50 fee will not be refunded.
Rescheduling & Cancellations:
If you need to reschedule, please notify us at least 48 hours in advance to avoid losing your deposit.
Cancellations within less than 48 hours may result in forfeiting the booking fee.
This policy ensures that all patients receive the attention they deserve while respecting our team’s time.
Got questions? Feel free to contact us at 07 2111 5189 or [email protected].